A blood test could reveal Crohn’s disease years before symptoms
Researchers at Sinai Health have identified a blood test that can signal the risk of Crohn’s disease years before symptoms begin. The discovery points to the possibility of diagnosing the…
A bleak midwinter in London’s hospital corridors of care
Karl MercerBBC London political editor BBC Roy Mitchell, accompanied by son Cliff, was among the many patients experiencing “corridor care” when the BBC visited Queen’s Hospital Matthew Trainer thinks this…
How type 2 diabetes quietly damages blood vessels
The risk of cardiovascular disease rises steadily the longer a person lives with type 2 diabetes. A new study from Karolinska Institutet, published in the journal Diabetes, suggests that changes…
Wes Streeting admits NHS ‘falling short’ on autism and ADHD
The Health Secretary has admitted the NHS is “falling short” on meeting demand for adult autism and ADHD diagnosis. Speaking to BBC Radio Oxford, he was responding to a question…
A common vitamin could influence bathroom frequency
Bowel habits may not be a popular topic, but they offer valuable insight into how efficiently the gut moves material through the digestive system. When this process becomes disrupted, people…
Why some people get bad colds and others don’t
When rhinovirus, the most common cause of the common cold, enters the nasal passages, the cells lining the nose immediately begin working together to fight the infection. These cells activate…
WHO renews commitment to a leprosy-free world, spotlighting partnership and progress ahead of World Leprosy Day
Access to treatment for leprosy is essential to global efforts to eliminate leprosy, says the World Health Organization (WHO) ahead of World Leprosy Day, to be observed on 25 January.…
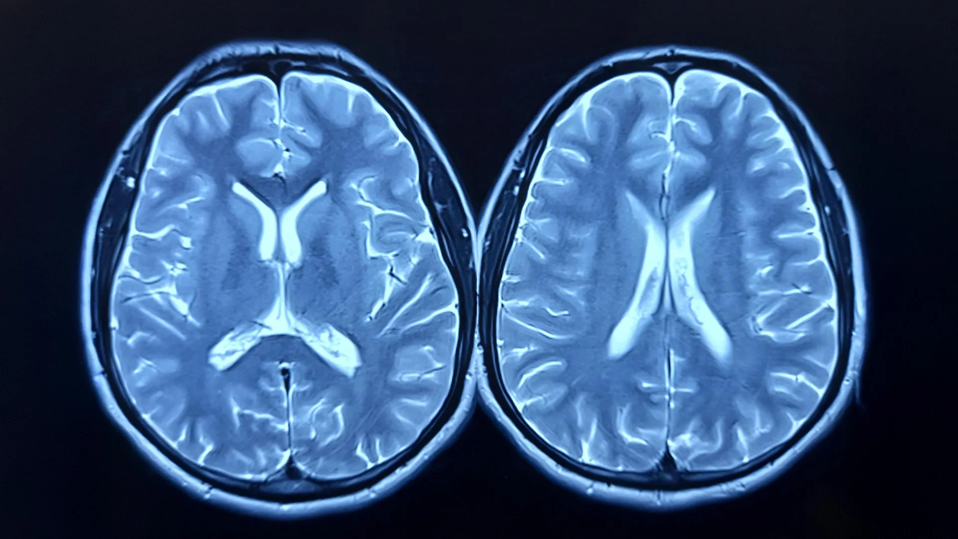
MRI scans show exercise can make the brain look younger
Looking after your brain is something that happens over many years, and new findings from the AdventHealth Research Institute point to an encouraging option. Researchers report that sticking with a…
After 11 years of research, scientists unlock a new weakness in deadly fungi
Fungal infections claim millions of lives every year, yet treatment options have failed to keep pace with the growing danger. Scientists at McMaster University now report a discovery that could…
A simple blood test mismatch linked to kidney failure and death
A difference between two widely used blood tests for kidney health may serve as an early warning sign for serious outcomes, including kidney failure, heart disease, and death, according to…
















