Scientists are building viruses from scratch to fight superbugs
Bacteriophages, viruses that infect bacteria, have been used as medical treatments for bacterial infections for more than 100 years. Interest in these viruses is rising again as antibiotic resistance becomes…
How some countries are rethinking exercise
Dr Jo Blodgett from UCL explains an approach that considers how much you move – and don’t move – across the day. Source link
How the NHS became the battleground in the trans debate at work
Alison HoltSocial affairs editor BBC “A moment of truth.” That was the verdict of a group of nurses in Darlington after a legal judgement that said NHS bosses had violated…
The teenage cousins living with inoperable brain tumours
Nichola RutherfordBBC Scotland News Emma Christie Hazel Dempster and Lachlan Lindsay both have brain tumours When Lachlan Lindsay was eight, he was diagnosed with a brain tumour. Surgeons acted quickly…
Nurse in pronoun row reinstated in job after disciplinary hearing
A nurse who was suspended over an alleged breach of a transgender patient’s confidentiality has been reinstated. Jennifer Melle from Croydon, south London, was removed from duty after speaking publicly…
Could your frying pan be toxic?
Scientist Mark Miodownik explores the potential impact of ‘forever chemicals’ present in some cookware. Made in partnership with the Royal Society. Source link
Tiny doses of THC show big benefits for HIV treatment
New research from Texas Biomedical Research Institute suggests that long-term use of very small amounts of THC may reduce inflammation and ease several harmful effects linked to HIV and antiretroviral…
Telford botched “Turkey teeth” op victim keeps going advising of dangers
Andy Giddings,West Midlandsand Mark Elliott,Radio Shropshire Leanne Abeyance Leanne Abeyance says she “wants to chop her head off and start again”, after the operation led her nose to collapse and…
Patients tried everything for depression then this implant changed their lives
About one in five adults in the United States will experience major depression at some point in their lives. Many people improve after trying a few treatments, but for as…
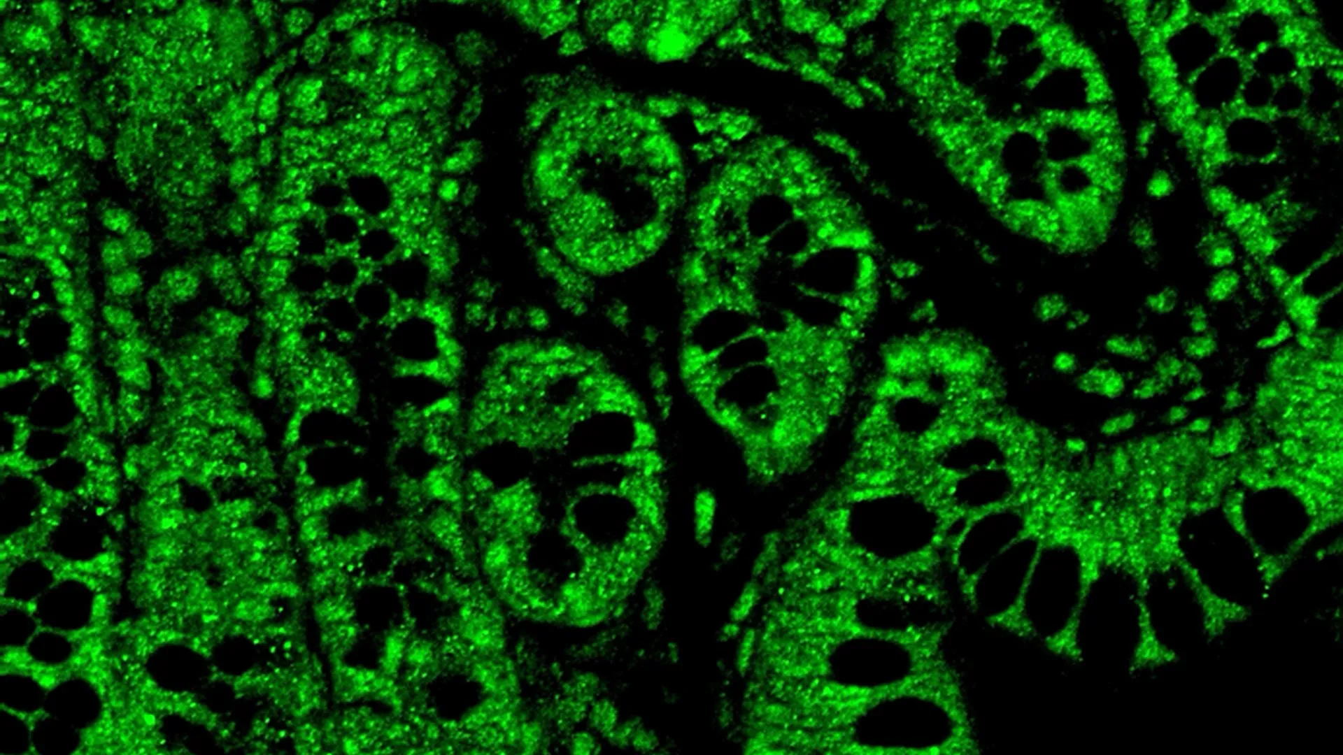
Stanford scientists found a way to regrow cartilage and stop arthritis
A study led by Stanford Medicine researchers has found that an injection blocking a protein linked to aging can reverse the natural loss of knee cartilage in older mice. The…














